Palupi Dental Care berdiri dengan satu prinsip sederhana — setiap orang berhak mendapatkan perawatan gigi yang nyaman, terjangkau, dan dilakukan dengan sepenuh hati.
Dengan tim dokter gigi berpengalaman dan fasilitas modern, kami melayani ribuan pasien dari berbagai kalangan di Samarinda. Dari konsultasi pertama hingga hasil akhir, kami pastikan kamu merasa aman dan puas di setiap langkahnya.
Tim dokter gigi kami berkomitmen memberikan perawatan terbaik dengan keahlian dan ketulusan untuk setiap pasien.
Dari perawatan rutin hingga estetik, kami siap membantu kamu mendapatkan senyum yang sehat dan percaya diri.
Bersihkan karang gigi dan plak untuk mulut yang lebih sehat dan segar.
Rapikan susunan gigi dengan bracket berkualitas — metal maupun keramik.
Tampilan gigi yang sempurna dengan lapisan porselen tipis yang natural.
Cerahkan warna gigi secara aman dan efektif dalam satu kali kunjungan.
Solusi permanen untuk gigi yang hilang — terlihat dan terasa seperti asli.
Prosedur pencabutan yang cepat, minim rasa sakit, dan aman untuk semua usia.
Restorasi gigi berlubang dengan bahan komposit sewarna gigi yang alami.
Selamatkan gigi dari infeksi dalam dengan prosedur yang tepat dan hati-hati.
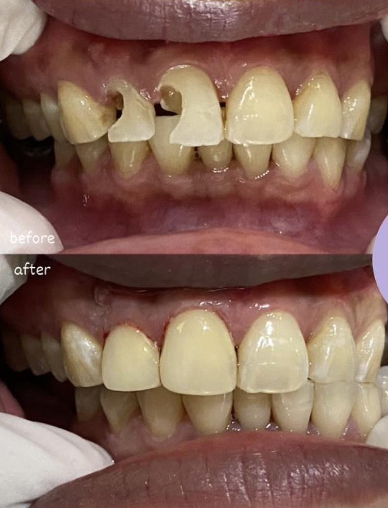
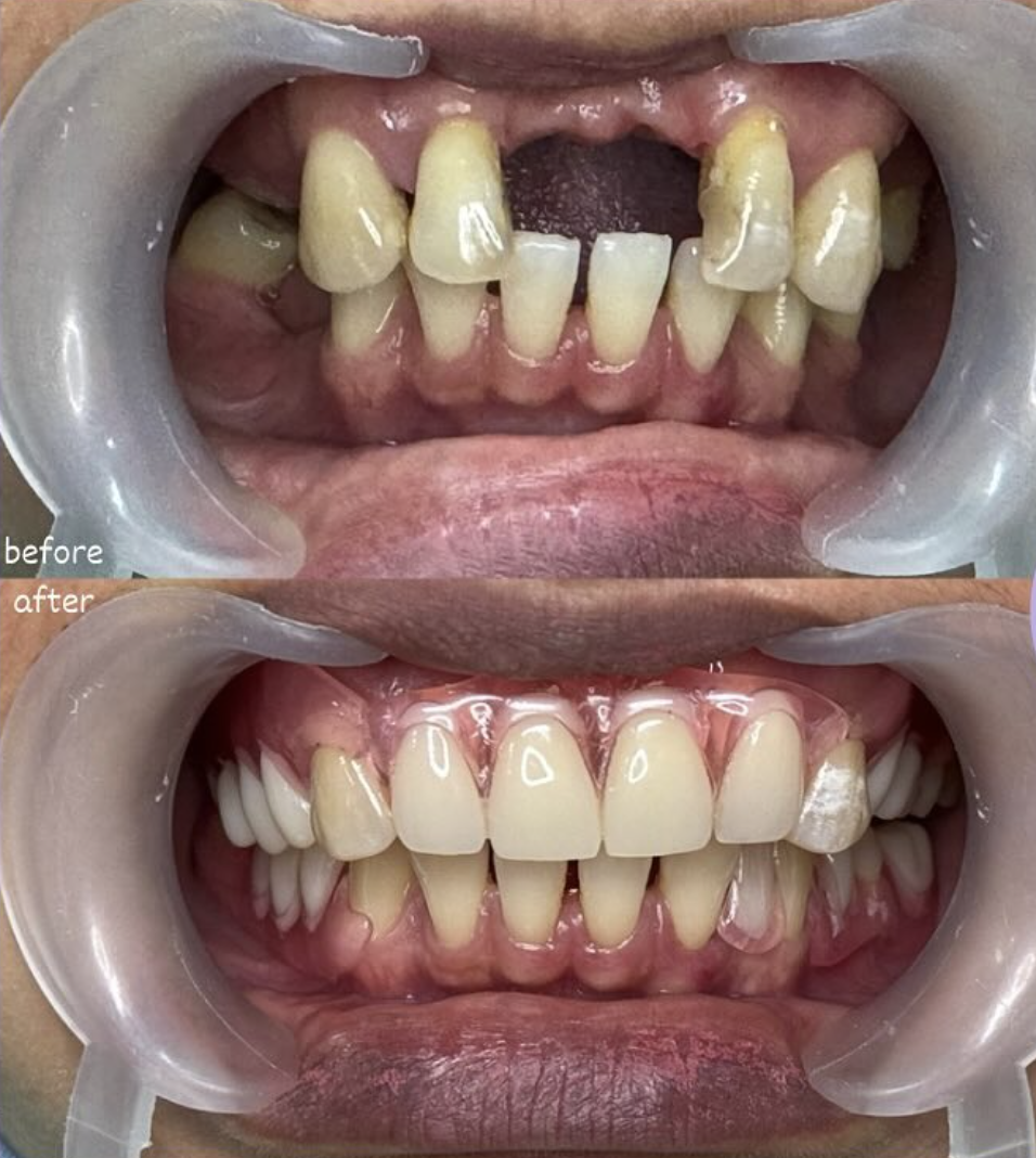
Lihat sendiri hasil perawatan nyata dari pasien-pasien kami yang sudah merasakan manfaatnya.










Bukan kami yang bilang — tapi mereka yang sudah merasakannya sendiri.
Hadir di dua titik strategis di Samarinda agar perawatan gigi terbaik mudah dijangkau oleh semua orang.